阪神甲子園駅徒歩8分

まつした歯科|阪神甲子園駅徒歩8分

歯を支える“土台”を守る。
歯周病治療

歯周病は、歯を支える骨や歯ぐきが少しずつ壊れていく病気です。
初期には自覚症状がほとんどなく、気づいたときには歯がぐらついていた…ということも珍しくありません。まつした歯科では、マイクロスコープやCTを活用した精密な診査・治療により、できる限りご自身の歯を守ることを目指しています。

PERIODONTAL DISEASE 歯周病治療

歯周病とは

歯ぐきの炎症から始まり、進行すると歯を支える骨(歯槽骨)が溶けていく病気です。
原因は歯垢(プラーク)や歯石の中にすみつく細菌で、放置すると歯が抜けてしまうこともあります。全身の健康(糖尿病・動脈硬化など)にも影響すると言われています。

01

精密な診査・治療

まつした歯科では、歯石の取り残しを防ぐなど、細部まで丁寧な処置を行います。また、必要に応じて歯周ポケット検査やレントゲン、CTによる骨の状態の確認を行い、原因を正確に把握した上で治療計画を立てます。

02

再発を防ぐための
メインテナンス

治療後も歯周病は再発しやすい病気です。
定期的なクリーニングとホームケアの見直しが、長く健康を保つための鍵となります。
患者さま一人ひとりに合わせて、歯ブラシの使い方や磨き残しやすい部位のケア方法を丁寧にお伝えします。

03

骨の再生をめざす治療
(再生療法)

進行した歯周病では、歯を支える骨(歯槽骨)が失われてしまうことがあります。
そのままでは歯がぐらつき、最終的に抜歯が必要になることも。
そこで、失われた骨や歯ぐきの再生を促す「歯周組織再生療法」を行うことがあります。

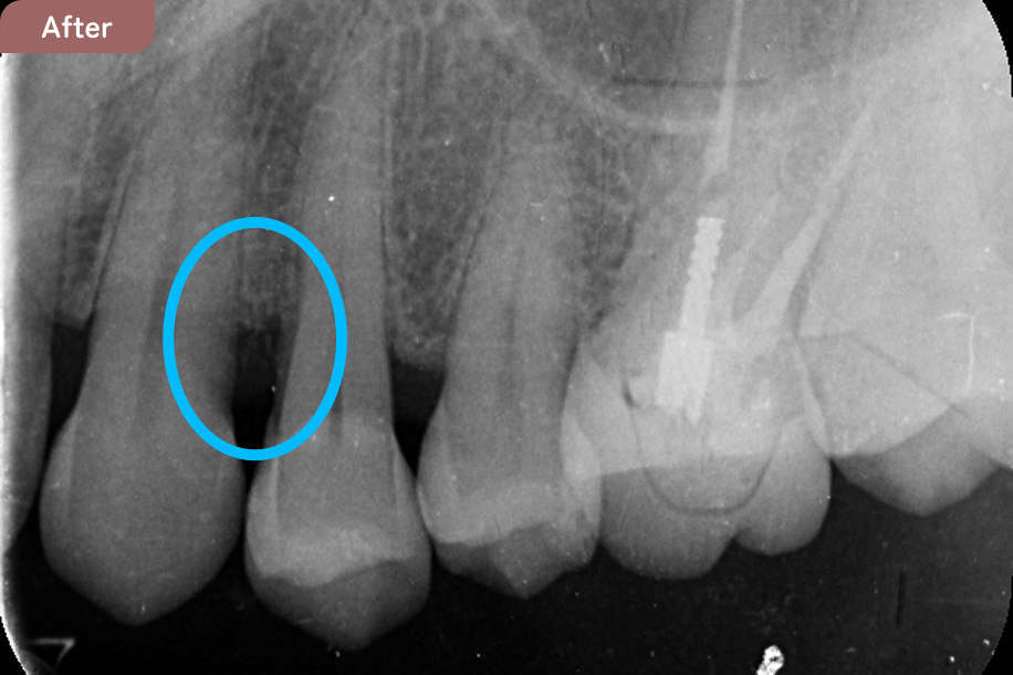
青丸の部分に再生療法を行った結果、骨の再生が認められる。

REGENERATIVE THERAPY 再生療法

01

保険で行う再生療法
(リグロス法)

保険診療で使用できる再生材として、「リグロス®(エナメルマトリックスタンパク質製剤)」があります。
厚生労働省に認可された再生材で、主に歯周病によって骨が失われた部位に使用します。

  • 目的:溶けた歯槽骨の再生を促す
  • 対象:骨欠損の形が明確で、一定の条件を満たす症例
  • メリット:保険適用で費用を抑えられる(数千円程度〜)
  • デメリット:再生量に限界があり、すべての症例に適応できるわけではない
02

自費による再生療法
(エムドゲイン法など)

より高度な再生をめざす場合には、自費での再生療法を提案することがあります。
代表的なのが、「エムドゲイン®・ゲル」を使用した治療です。これはスイスで開発された再生材料で、歯の発生過程で重要なタンパク質を応用したものです。

  • 目的:失われた歯槽骨・歯根膜・セメント質の再生
  • 対象:より複雑な骨欠損にも対応可能
  • メリット:再生能力が高く、より自然な治癒が期待できる
  • デメリット:保険適用外のため自費(おおよそ5〜10万円前後/1部位)

また、状態に応じて骨補填材(人工骨)やメンブレン(再生膜)を併用し、再生スペースを確保して骨の再生を助けることもあります。

再生治療の流れ

  • 01

    精密検査(CT・プロービングなど)で骨の状態を評価

  • 02

    炎症のコントロール(歯石除去・歯ぐきの治療)

  • 03

    条件が整った段階で再生療法を実施

  • 04

    治癒経過を定期的にチェック(約3〜6か月で再評価)

一般的な歯周病治療の流れ

  • 01

    カウンセリング

    まずは、お口の状態やお悩みをじっくりお聞きします。歯ぐきの腫れ、出血、口臭、歯のぐらつきなど、気になる症状をお伝えください。
    症状や全身の健康状態、生活習慣をふまえて、今後の治療の流れをご説明します。

  • 02

    精密検査(歯周検査・レントゲン・CTなど)

    歯ぐきの状態を正確に知るために、次のような検査を行います。
    ・歯周ポケット(歯と歯ぐきのすき間)の深さの測定
    ・歯の動揺度(ぐらつき)の確認
    ・レントゲン・CTによる骨の吸収状態の確認
    ・プラークの付着状況のチェック
    これらの結果をもとに、**歯周病の進行度を「軽度・中等度・重度」**に分けて治療計画を立てます。

  • 03

    プラークコントロール(歯みがき指導)

    歯周病の根本原因は「細菌」です。
    まずはご自身でお口を清潔に保てるよう、正しい歯ブラシの使い方や歯間ブラシ・フロスの選び方をお伝えします。
    セルフケアが改善すると、歯ぐきの炎症が軽くなり、次の治療ステップの効果が高まります。

  • 04

    スケーリング(歯石除去)

    歯石の表面には細菌が付着しやすく、炎症の原因となります。
    専用の器具で歯ぐきの上(歯肉縁上)についた歯石を丁寧に除去します。
    初期の歯周病では、この段階で症状が改善することもあります。

  • 05

    SRP(スケーリング・ルートプレーニング)

    歯ぐきの中(歯肉縁下)にこびりついた歯石や汚染された歯根面を、マイクロスコープ下で丁寧に清掃します。
    肉眼では見えにくい深い部分までしっかり除去することで、歯ぐきの炎症が治まり、再び歯に付着しにくい環境をつくります。

  • 06

    再評価(治療後のチェック)

    約1〜3か月後に再検査を行い、
    ・歯ぐきの腫れや出血が改善したか
    ・ポケットの深さが浅くなったか
    ・プラークコントロールができているか を確認します。 この結果をもとに、必要であれば次のステップに進みます。

  • 07

    外科的歯周治療(必要な場合)

    中〜重度の歯周病で、深い歯周ポケットや骨の欠損がある場合には、外科的治療を行います。歯ぐきを部分的に開いて、根面や骨の状態を直接確認し、歯石や感染組織を除去します。この際、リグロスやエムドゲインなどを用いた再生療法を併用することで、骨の再生を目指すこともあります。

  • 08

    メインテナンス(定期検診)

    治療後は、再発を防ぐために3〜6か月ごとの定期検診・クリーニングがとても大切です。
    専用器具による歯石除去やバイオフィルム除去を行い、再発を防ぎます。
    また、生活習慣や磨き方の癖も一緒に見直しながら、健康な歯ぐきを維持します。
    歯周病治療は「通って終わり」ではなく、**“守り続ける治療”**です。
    まつした歯科では、マイクロスコープによる精密治療と、再生療法・メインテナンスを組み合わせて、「歯をできるだけ長く、自分の歯で噛めるように」サポートいたします。